こやま歯科 貝塚市二色浜駅前の歯科医院   072-425-3737

診療案内

HOME | 診療案内 | 審美歯科

審美歯科

「歯を白くしたい」「銀歯を白い歯に替えたい」そんな希望を叶えるのが審美歯科です。
美しさも重視される方にお応えできるよう、審美歯科の診療(自費治療)を行っています。
自費治療には、ホワイトニング、セラミックを使用した目立ちにくいかぶせもの、インプラント治療等があります。詳しくはスタッフまでお問い合わせください。

ホワイトニング

ホワイトニング

ホワイトニング

ホワイトニング
ホワイトニングとは健康な歯を削らずに歯を白くする方法です。

歯はもともと白くなく、わずかに黄ばんだ色をしています。それをより白くする方法です。

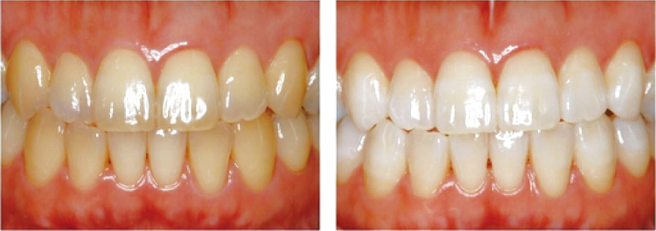
ホワイトニング ビフォー&アフター
ホームホワイトニングをはじめるにあたって、まずはじめに、お口の形の型をとって、歯型ににぴったりのマウスピースを作成します。
 
歯の漂白を行う前には、表面の汚れを落としたほうが、浸透が良く、効果的です。そのため、マウスピース制作前に、歯のクリーニングをさせていただきます。
歯石除去などが必要な場合はホワイトニング前に治療を行います。
 
マウスピース
ホワイトニングトレーホームホワイトニングでは、1日数時間の使用で、およそ2週間で歯が白くなってゆきます。自宅でのホワイトニングは、安全性の確保のため、歯科医院で行うオフィスホワイトニングよりも、マイルドな薬剤が使用されます。その分、白くなるまでの期間が長くなりますが、時間をかけてじっくりと漂白を行うため、後戻りしにくい傾向があるようです。

歯科医院でマウスピースを作成した後は、ご自宅でホワイトニングを行います。 マウスピースにジェルを注入し、歯に装着します。 ジェルを入れすぎて歯肉に付着すると、歯肉の変色、知覚過敏の原因などになるため、入れすぎには注意が必要です。 
 
ホームホワイトニングはほとんどの人に行えるホワイトニング法ですが、知覚過敏のある方、虫歯や欠けた歯がある方、妊娠・授乳中の方などは、避けたほうがよいでしょう。
また、金属やレジンの詰め物、かぶせものには効果がありません。
過去の治療物が気になる場合には、変色しない白い歯科材料・セラミックなどで代替することが可能です。
 
抗生物質の過剰摂取による着色歯(テトラサイクリン)や、象牙質・エナメル質の形成不全による着色歯などで、もとの歯自体がしま模様になっている場合には、全体的に白く、模様を薄くすることはできますが、均一に白くすることはできません。そのような場合には、セラミックなどを用いることで歯を白くすることが可能です。
 

ホームホワイトニング(両顎):30,800円(税込)

白いかぶせもの、詰め物

オールセラミック

オールセラミック

セラミックだけでできた素材です。透明性に優れ美しく周りの歯の色に溶け込みます。
適合性、色、噛み合わせに優れ、変色しません。
 

オールセラミッククラウン:110,000円 (税込)

 

メタルボンド

メタルボンド

中身は金属で、外から見える部分にのみセラミックを貼付けたかぶせもの(クラウン)です。
見た目がよく変色せず、強度にも優れています。
 

メタルボンド:82,500円 (税込)

 

ハイブリッド

ハイブリッド

セラミックとプラスチックとの複合材で、歯と同じくらいの硬さを持った素材です。
保険のものより、永く白く美しい歯を保つことができます。
 

ハイブリッドクラウン:66,000円 (税込)
ハイブリッドインレー:33,000円 (税込)

 

ラミネートベニア

ラミネートベニア

健全な歯の部分は極力削らすに歯の表面を薄く削り、そこに付け爪の様な薄いセラミック製の歯を貼り付ける事で歯の表面の色、形を整えます。虫歯の部分は少ないけれども、歯の形、隙間や変色が気になる方に適します。
 

ポーセレンラミネートベニア:66,000円 (税込)

 

ファイバーコア

ファイバーコア

グラスファイバーという特殊な素材でできた、歯の土台です。適度な弾力性、しなやかさがあるため、根が折れたりするのを防ぎます。また光の透過性がある為、ファイバーコアにオールセラミックの歯をかぶせることで、非常に美しい透明感のある歯に仕上がります。また、歯ぐきとの境目が黒くなってしまうこともありません。金属を使用しないので金属アレルギー体質の人でもお勧めできます。
 

ファイバーコア:11,000円 (税込)

オールセラミック

オールセラミック

セラミックだけでできた素材です。透明性に優れ美しく周りの歯の色に溶け込みます。
適合性、色、噛み合わせに優れ、変色しません。
 

オールセラミッククラウン:110,000円 (税込)

メタルボンド

メタルボンド

中身は金属で、外から見える部分にのみセラミックを貼付けたかぶせもの(クラウン)です。
見た目がよく変色せず、強度にも優れています。
 

メタルボンド:82,500円 (税込)

ハイブリッド

ハイブリッド

セラミックとプラスチックとの複合材で、歯と同じくらいの硬さを持った素材です。
保険のものより、永く白く美しい歯を保つことができます。
 
 

ハイブリッドクラウン:66,000円 (税込)
ハイブリッドインレー:33,000円 (税込)

ラミネートベニア

ラミネートベニア

健全な歯の部分は極力削らすに歯の表面を薄く削り、そこに付け爪の様な薄いセラミック製の歯を貼り付ける事で歯の表面の色、形を整えます。虫歯の部分は少ないけれども、歯の形、隙間や変色が気になる方に適します。
 

ポーセレンラミネートベニア:66,000円 (税込)

ファイバーコア

ファイバーコア

グラスファイバーという特殊な素材でできた、歯の土台です。適度な弾力性、しなやかさがあるため、根が折れたりするのを防ぎます。また光の透過性がある為、ファイバーコアにオールセラミックの歯をかぶせることで、非常に美しい透明感のある歯に仕上がります。また、歯ぐきとの境目が黒くなってしまうこともありません。金属を使用しないので金属アレルギー体質の人でもお勧めできます。
 

ファイバーコア:11,000円 (税込)

ゴールドインレー

ゴールドインレー

金合金でできており、しなやかで歯との適合性も良く、詰め物と歯の境目から虫歯になりにくいです。
 

ゴールドインレー:66,000円(税込)〜

 

インプラント

インプラント

インプラントは、失った歯を補うために人工歯根を埋め込み、その上から人工歯を装着する事で噛む機能を回復する治療法です。入れ歯と違い、残った歯に負担をかけません。ブリッジと違い、前後の歯を削らずにすみます。
 
CT3次元CT診断装置も導入していますので、より精密な診断をしたうえで治療が受けられます。
 

インプラント 1本:330,000円 (税込)~ (歯冠補綴除く)

ゴールドインレー

ゴールドインレー

金合金でできており、しなやかで歯との適合性も良く、詰め物と歯の境目から虫歯になりにくいです。
 
 
 

ゴールドインレー:66,000円 (税込)〜

インプラント

インプラント

インプラントは、失った歯を補うために人工歯根を埋め込み、その上から人工歯を装着する事で噛む機能を回復する治療法です。入れ歯と違い、残った歯に負担をかけません。ブリッジと違い、前後の歯を削らずにすみます。
 
CT3次元CT診断装置も導入していますので、より精密な診断をしたうえで治療が受けられます。
 

インプラント 1本:330,000円 (税込)~ (歯冠補綴除く)